쿨쿨플란트치과의원 - 전주치과 | 전주 임플란트

사이트맵
  • 쿨쿨플란트치과
    • 쿨쿨플란트치과
    • 의료진소개
    • 대표원장 Story
    • 장비소개
    • 진료공간
    • 진료시간/오시는길
  • 수면임플란트
    • 수면임플란트 특별함
    • 수면임플란트
    • 네비게이션 임플란트
    • 스트라우만 임플란트
    • 오스템 임플란트
    • 덴티스 임플란트
  • 수면치과치료
    • 수면치과치료
    • 보철치료
    • 충치치료
    • 신경치료
    • 사랑니발치
  • 고난이도 임플란트
    • 고난이도 임플란트란?
    • 전악임플란트
    • 상악동 골이식 임플란트
    • 발치즉시 임플란트
    • 재수술임플란트
    • 임플란트 틀니
    • 치아교정통합진료
  • 고난이도 사랑니발치
  • 스마일 디자인
  • 자연치아 살리기
  • 비급여수가
  • 커뮤니티
    • 공지사항
    • 전후사진
    • 자필후기
    • 카톡상담

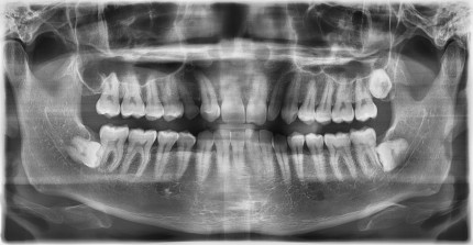
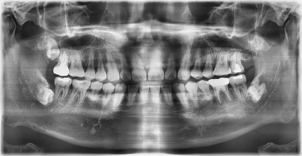
쿨쿨플란트치과에서 진행하는 고난이도 사랑니발치란?
쿨쿨플란트치과 고난이도 사랑니발치 케이스
사랑니발치, 이런 분들께 필요합니다!
쿨쿨플란트치과 치료 전후사진- 쿨쿨플란트치과는 의료법을 준수합니다. 본 컨텐츠는 의료법상 로그인 후 보실 수 있습니다.

치과를 선택할 때 꼭!  확인하세요.

쿨쿨플란트치과 사랑니, 매복치발치 치료 전후사진

쿨쿨플란트치과만의 특별함, 쿨쿨플란트치과를 선택해야 하는 이유
쿨쿨플란트치과의 쾌적한 진료공간을 소개합니다.
진료공간1
진료공간2
진료공간3
진료공간4
진료공간5
진료공간6
쿨쿨플란트치과의원-전화문의:063-224-2875, 전라북도 전주시 완산구 홍산로 260 엠스퀘어 4층(서전주CGV)-사업자등록번호 : 617-92-63564-대표 : 손민호-TEL.063-224-2875,FAX.063-224-2885-COPYRIGHT-쿨쿨플란트치과의원-ALL-RIGHTS-RESERVED
Top버튼